
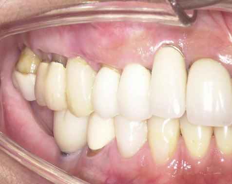
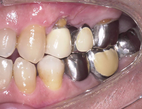
①歯根破折により右上小臼歯が動揺し、歯肉が腫れてしまい、周囲の歯槽骨が吸収していてインプラント埋入
が出来ないと他院で診断され、当院にインプラント治療を希望されました。

①歯槽頂よりサイナス
リフトを行いました。

②血液成分とカルシウム材料により骨造成をしました。

③ガイデッドサージェリーにてインプラント埋入しました。

④計画通りの埋入が出来ました。

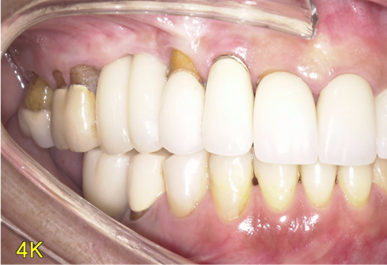
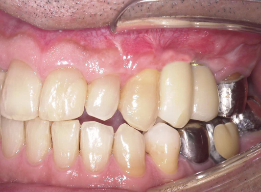
予定通りジルコニアクラウンにて、インプラント修復が行えました。

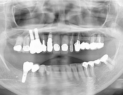
レントゲン写真でも理想的な位置
に埋入できました。

術前ではインプラントを埋入する骨組織はほとんど有りませんが、

術後完全に骨内に埋入出来ました。