インプラント 金沢区能見台の歯科 歯医者
神奈川県横浜市金沢区堀口5?1 グリーンコーポ谷津坂 2F
045-791-6180
まさき歯科クリニック
メニュー
TOP
診療内容
お子様の検診・治療について
レーザー治療
歯周病治療
骨造成とインプラント治療
歯周再生治療
歯科用CT
審美・矯正治療
歯科用CT
医院案内
院長紹介
歯っぴぃと~く
TOP
診療内容
診療内容
歯科用CT
医院案内
院長紹介
歯っぴぃと~く
骨造成とインプラント治療
お子様の検診・治療について
レーザー治療
歯周病治療
骨造成とインプラント治療
歯周再生治療
歯科用CT
審美・矯正治療
骨造成とインプラント治療
・失われた顎骨を再生する為に、当院ではPRF(血小血清成長因子)を使用した骨造成治療を行っております。
・この治療を行う為には厚生省認定医療機関に登録する必要があり、当院はこれに該当しております。(細胞培養加工施設番号 FC3150244)
・現在では当院においてインプラント治療を受ける8割の患者様がこの治療を必要とされており、この治療を行う事により良好な結果を得ています。
リスクに応じた再生医療等の分類と審査委員会
分類
対象となる医療
対象となる再生医療材料
設立が必要な委員会
第1種再生医療等
ヒトに未実施など高リスクなもの
ES細胞、iPS細胞など
特定認定再生医療等委員会
第2種再生医療等
現在実施中など中リスクなもの
体性幹細胞など
特定認定再生医療等委員会
第3種再生医療等
低リスクなもの
体細胞を加工など(AFG、PRF、CGFなど)
認定再生医療等委員会
クインテッテッセンスデンタルインプラントロジー 2015 3 木津康博 引用
第3種再生医療であるAFG、PRFの採取方法
骨造成とインプラント治療1
歯根破折により抜歯に至った患者様で、顎骨吸収により通常ではインプラント手術は出来ませんが、骨造成治療によりインプラント治療が行える様になったケースです。
詳しく見る
骨造成とインプラント治療1
×
①インプラントを入れるためには骨が吸収しています
②骨の足りないところにPRFと混ぜた骨補填材を入れます
③歯肉の組織が入り込まない様にします
④完全閉鎖し終了となります
⑤ガイデッド手術によりインプラント埋入します
⑥インプラント埋入終了です
⑦フルジルコニアクラウンをスクリュー固定しました
術後X線写真です 計画通りの治療が行えました
骨造成とインプラント治療2
上顎臼歯が歯根破折により抜歯になった患者様で、通常ですとインプラント治療は不可能ですが、骨造成処置と上顎洞底挙上術を行いインプラント治療を行ったケースです。
詳しく見る
骨造成とインプラント治療2
×
①上顎洞粘膜を露出させましたがインプラント治療を行うためには骨が全くありません
②術前のX線写真です インプラントを支える骨がほとんどありません
③骨造成の為PRFと混ぜた骨補填材を置きメンブレンで封鎖しました
④歯肉を完全閉鎖し終了となります
⑤ガイデッド手術で正確にインプラント埋入します
⑥インプラント埋入終了です
⑦フルジルコニアクラウンをスクリュー固定しました
骨造成と上顎洞底挙上によりインプラントを完全に骨の中に入れる事が出来ました
術後のレントゲン写真です 計画通りの治療が行えました
骨造成とインプラント治療3
上顎前歯歯根破折により抜歯になった患者様で、通常ですと唇側に骨が足りなく審美障害を起こしてしまいますが、インプラント埋入と同時に骨造成治療を行う事により、審美的な修復を行えたケースです。
詳しく見る
骨造成とインプラント治療3
×
①インプラント埋入には骨が足りません
②骨の吸収が少なかったのでインプラント埋入と同時に骨造成処置を行いました
③歯肉の組織が入り込まない様にメンブレンで封鎖しました
④理想的な歯肉形態を提供できました
⑤ジルコニアポーセレンクラウンをスクリュー固定しました
⑥
⑦術後の正面観です
骨造成とインプラント治療4
左上に部分義歯を入れられていた患者様で、顎骨の吸収により通常ではインプラント治療を行えませんが、インプラント埋入と同時に骨造成処置を行い、ジルコニアの歯肉付き修復により審美的修復治療を行ったケースです。
詳しく見る
骨造成とインプラント治療4
×
①術前の口腔内写真
②インプラント埋入手術時骨が足りない場所にPRFを用いた骨造成を行いました
③インプラント周囲には十分な骨再生が認められました
④十分な歯肉の厚みも得られました
⑤歯肉付きのジルコニアセラミッククラウンにて修復致しました
⑥
⑦スクリュー固定の補綴物を提供しました
最終補綴物装着時口腔内写真 DT:小見川 純
患者様も大変満足されました
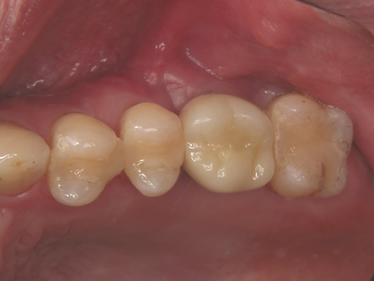
最終補綴物装着時口腔内写真 拡大1
最終補綴物装着時口腔内写真 拡大2
最終補綴物装着時口腔内写真 拡大3
最終補綴物装着時口腔内写真 拡大4
最終補綴物装着時口腔内写真 拡大5
最終補綴物装着時X線写真
最終補綴物装着時X線写真
最終補綴物装着時X線写真
骨造成とインプラント治療5
右下奥歯を歯根破折により抜歯された患者様で、高度な骨吸収により通常ではインプラント治療が行えませんが、骨造成処置後4ヶ月を待ってインプラント埋入を行い、ジルコニアクラウンにより修復処置を行ったケースです。
詳しく見る
骨造成とインプラント治療5
×
①インプラント埋入には充分な骨がありませんでした
②PRFと骨補填材により骨造成を行いました
③歯肉の組織が入り込まない様にメンブレンにて覆いました
④インプラント手術時充分な骨再生が得られました
⑤理想的な骨造成が得られました
⑥補綴物はスクリュー固定フルジルコニアクラウンとしました
⑦最終補綴物装着時
最終補綴物装着時X線写真